Welcome to the Treatise on Invertebrate Paleontology!
Please enter a genera name to retrieve more information.
Aulostegites
Classification
Phylum:
Cnidaria
Class:
Anthozoa
Subclass:
Tabulata
Order:
Auloporida
Superfamily:
Auloporicae
Family:
Aulocystiidae
Formal Genus Name and Reference:
Aulostegites Lejeune & PEL, 1973, p. 452
Type Species:
A. hillae, OD, †H-H 189/2, J. Pel Coll., PAU, Liège
Images
(Click to enlarge in a new window)
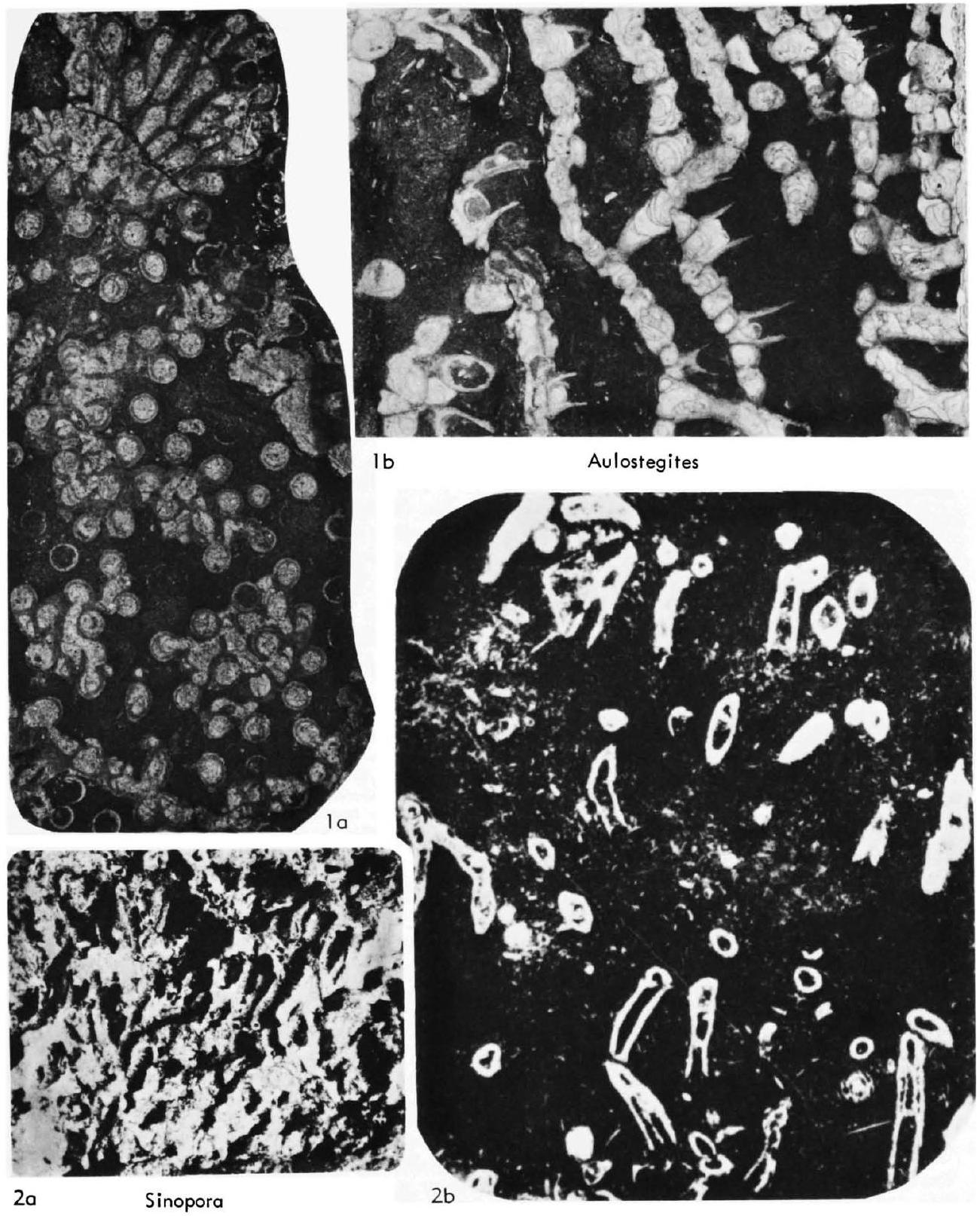
Fig. 441,1a,b. *A. hillae, mid. Givet., Belg., provo Luxembourg; a,b, transv., long. secs., X2.7, X3.7 (Lejeune & Pel, 1973).
Synonyms
Geographic Distribution
Eu.(Belg.-Czech.)
Age Range
Beginning Stage in Treatise Usage:
M.Dev.(Givet.)
Beginning International Stage:
Givetian
Fraction Up In Beginning Stage:
0
Beginning Date:
385.3
Ending Stage in Treatise Usage:
M.Dev.(Givet.)
Ending International Stage:
Givetian
Fraction Up In Ending Stage:
100
Ending Date:
378.9
Description
Corallum initially encrusting, of prostrate contiguous moderately thin-walled corallites with upwardly directed calices; some corallites grow much taller than others, and at a higher level give rise by lateral increase to a new expansion of prostrate and contiguous corallites; several such periodic expansions and upgrowth may occur; mural pores sparse; tabulae thin, numerous, deeply concave to infundibular, in places incomplete; septal spinules absent to poorly developed.
References
Lejeune, M. (Mme. Carpentier), \& Pel, J., 1973, Un autre Tabulé nouveau du Givetien de l'Ardenne belge; Aulostegites hillae gen. et sp. nov.: Soc. Géol. Belg., Ann., v. 95 REFERENCES, , no. 2, p. 451-462, text-fig. 1-6, pl. 1.
Museum or Author Information
Classification
Phylum:
Cnidaria
Class:
Anthozoa
Subclass:
Tabulata
Order:
Auloporida
Superfamily:
Auloporicae
Family:
Aulocystiidae
Formal Genus Name and Reference:
Aulostegites Lejeune & PEL, 1973, p. 452
Type Species:
A. hillae, OD, †H-H 189/2, J. Pel Coll., PAU, Liège
Images
(Click to enlarge in a new window)
Fig. 441,1a,b. *A. hillae, mid. Givet., Belg., provo Luxembourg; a,b, transv., long. secs., X2.7, X3.7 (Lejeune & Pel, 1973).
Synonyms
Geographic Distribution
Eu.(Belg.-Czech.)
Age Range
Beginning Stage in Treatise Usage:
M.Dev.(Givet.)
Beginning International Stage:
Givetian
Fraction Up In Beginning Stage:
0
Beginning Date:
385.3
Ending Stage in Treatise Usage:
M.Dev.(Givet.)
Ending International Stage:
Givetian
Fraction Up In Ending Stage:
100
Ending Date:
378.9
Description
Corallum initially encrusting, of prostrate contiguous moderately thin-walled corallites with upwardly directed calices; some corallites grow much taller than others, and at a higher level give rise by lateral increase to a new expansion of prostrate and contiguous corallites; several such periodic expansions and upgrowth may occur; mural pores sparse; tabulae thin, numerous, deeply concave to infundibular, in places incomplete; septal spinules absent to poorly developed.
References
Lejeune, M. (Mme. Carpentier), \& Pel, J., 1973, Un autre Tabulé nouveau du Givetien de l'Ardenne belge; Aulostegites hillae gen. et sp. nov.: Soc. Géol. Belg., Ann., v. 95 REFERENCES, , no. 2, p. 451-462, text-fig. 1-6, pl. 1.
