Welcome to the Cnidaria subsite on Invertebrate Paleontology!
Please enter a genera name to retrieve more information.
Sinopora
Classification
Phylum:
Cnidaria
Class:
Anthozoa
Subclass:
Tabulata
Order:
Auloporida
Superfamily:
Auloporicae
Family:
Sinoporidae?
Formal Genus Name and Reference:
Sinopora SOKOLOV, 1955, p. 226
Type Species:
Monilopora dendroidea Yoh in Yoh & HUANG, 1932, p. 10, + 3928$, 3947, IGP, Nanking
Images
(Click to enlarge in a new window)
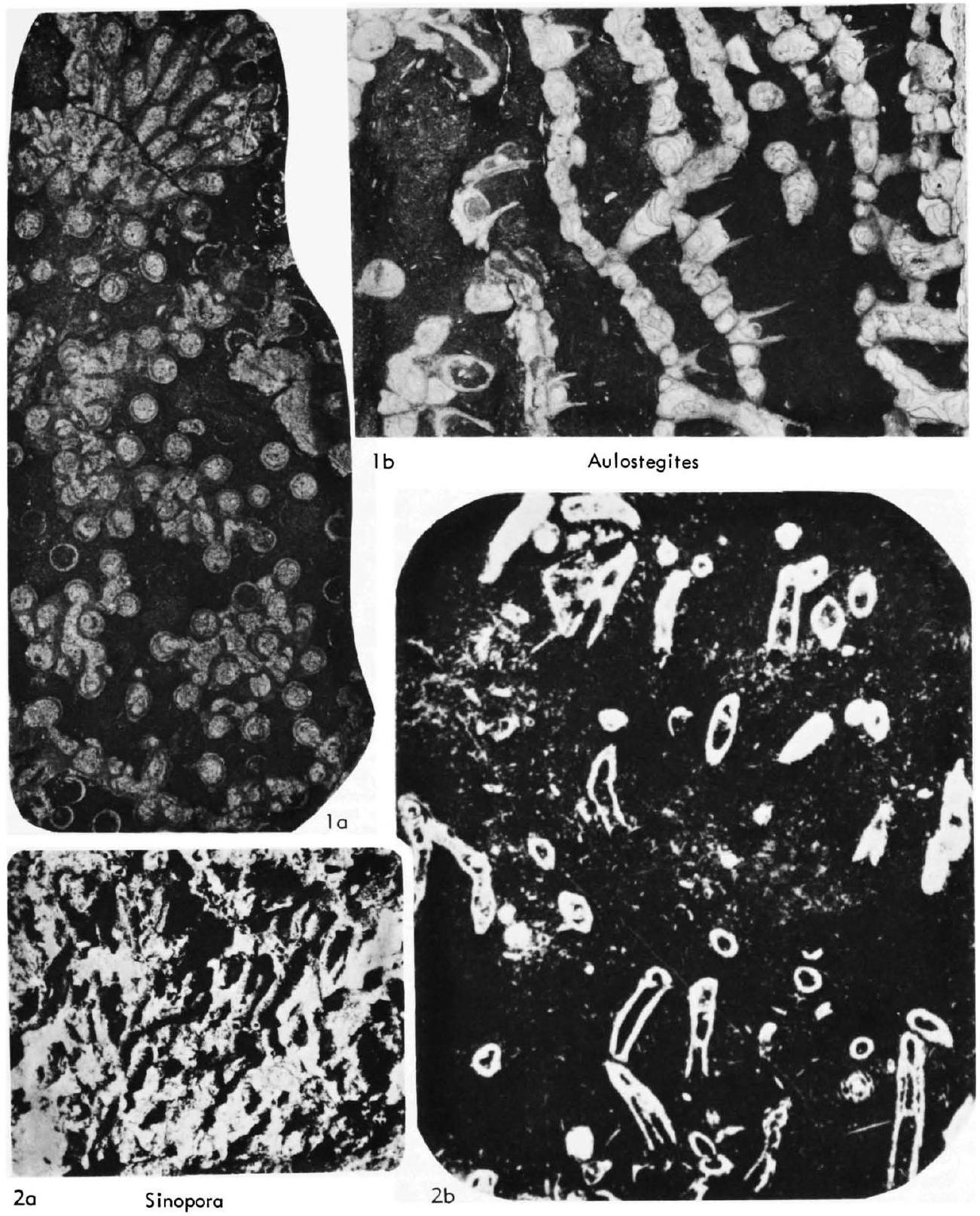
Fig. 441,2a,b. *S. dendroidea (Yon), a, holotype, L.Perm., Chihsia Ls., China, Chi-lung-shan, near Ho-chou, SE. Anhui, ext. view, X1.0, b, paratype, Chihsia Ls., China, Chuanshan, Chu-yung-hsien, Kiangsu, thin sec., X2.7 (Yoh& Huang, 1932).
Synonyms
Geographic Distribution
Eu.(Est.); V.Carb., Eu.(Urals-Russ. Platf.); L.Perm. (Wolfcamp.-Leonard.), N.Am. (Alaska); Perm., Eu.(W.Serbia)-Asia(China-Japan-Malaya-lran
Age Range
Beginning Stage in Treatise Usage:
L.Sil.(Llandov.)
Beginning International Stage:
Rhuddanian
Fraction Up In Beginning Stage:
0
Beginning Date:
443.07
Ending Stage in Treatise Usage:
L.Sil.(Llandov.)
Ending International Stage:
Telychian
Fraction Up In Ending Stage:
100
Ending Date:
432.93
Description
Corallum small, fruticose, corallites cylindrical, slender, elongate and curved, calices small with sharp edges, increase lateral, moderately common throughout corallum, offsets diverging in different directions, diameter of offset at origin almost equal to that of parent, no connecting tubuli, wall an epithecate, lamellate stereozone, tabulae sparse to absent, septal spines absent or weakly developed. [Proximal parts not known.]
References
Museum or Author Information
Classification
Phylum:
Cnidaria
Class:
Anthozoa
Subclass:
Tabulata
Order:
Auloporida
Superfamily:
Auloporicae
Family:
Sinoporidae?
Formal Genus Name and Reference:
Sinopora SOKOLOV, 1955, p. 226
Type Species:
Monilopora dendroidea Yoh in Yoh & HUANG, 1932, p. 10, + 3928$, 3947, IGP, Nanking
Images
(Click to enlarge in a new window)
Fig. 441,2a,b. *S. dendroidea (Yon), a, holotype, L.Perm., Chihsia Ls., China, Chi-lung-shan, near Ho-chou, SE. Anhui, ext. view, X1.0, b, paratype, Chihsia Ls., China, Chuanshan, Chu-yung-hsien, Kiangsu, thin sec., X2.7 (Yoh& Huang, 1932).
Synonyms
Geographic Distribution
Eu.(Est.); V.Carb., Eu.(Urals-Russ. Platf.); L.Perm. (Wolfcamp.-Leonard.), N.Am. (Alaska); Perm., Eu.(W.Serbia)-Asia(China-Japan-Malaya-lran
Age Range
Beginning Stage in Treatise Usage:
L.Sil.(Llandov.)
Beginning International Stage:
Rhuddanian
Fraction Up In Beginning Stage:
0
Beginning Date:
443.07
Ending Stage in Treatise Usage:
L.Sil.(Llandov.)
Ending International Stage:
Telychian
Fraction Up In Ending Stage:
100
Ending Date:
432.93
Description
Corallum small, fruticose, corallites cylindrical, slender, elongate and curved, calices small with sharp edges, increase lateral, moderately common throughout corallum, offsets diverging in different directions, diameter of offset at origin almost equal to that of parent, no connecting tubuli, wall an epithecate, lamellate stereozone, tabulae sparse to absent, septal spines absent or weakly developed. [Proximal parts not known.]
